Cos'è una Radiografia del Piede?
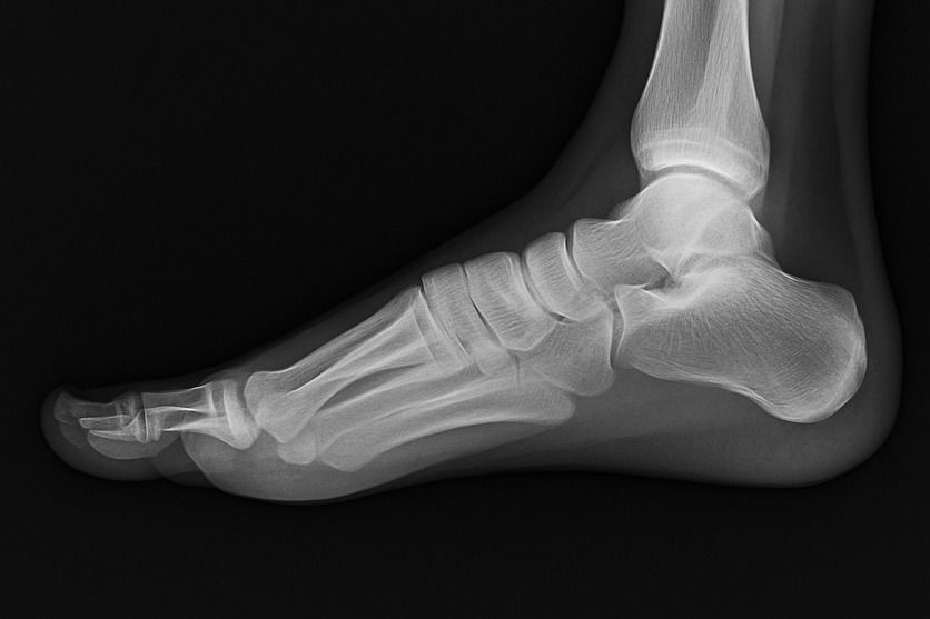
La radiografia del piede è un esame diagnostico che proietta su uno schermo immagini bidimensionali delle ossa di questa articolazione. Sostanzialmente, l'esame fornisce un'immagine in bianco e nero della parte interna del piede tramite l'applicazione di radiazioni ionizzanti (raggi X).
I tessuti possono apparire in diverse tonalità a seconda della quantità di radiazioni che assorbono. Più un tessuto è denso, maggiore è la quantità di radiazioni che assorbe e più chiaro il tessuto stesso apparirà nell'immagine radiografica. Le ossa, essendo molto dense, appaiono quasi bianche mentre muscoli, legamenti e tendini si manifestano in diverse tonalità di grigio.

Cosa si vede?
Una radiografia del piede è in grado di mostrare le ossa tarsali (caviglia), metatarsali (ossa della parte anteriore del piede) e le dita (falangi).
A cosa serve?
La radiografia del piede permette principalmente di diagnosticare problemi alle ossa come:
- Fratture ossee a piedi e caviglie, comuni soprattutto tra gli sportivi o in seguito a traumi;
- Lussazioni articolari;
- Deformità articolari (alluce valgo, piede piatto, dita a martello);
- Artrite del piede;
- Patologie degenerative come l'artrosi del piede e della caviglia o l'artrite reumatoide;
- Cisti;
- Infezioni ossee (osteomielite, ad esempio);
- Tumore alle ossa.
La radiografia viene, spesso, prescritta anche dopo un intervento chirurgico al piede, per accertarsi che le ossa siano guarite correttamente o per controllare il posizionamento di dispositivi che sono stati impiantati nel corpo del paziente (come viti o placche).
È più complicato ottenere, tramite una radiografia, informazioni dettagliate su legamenti o tendini. Di conseguenza, se l'ortopedico sospetta un problema a un legamento o a un tendine, potrebbe prescrivere ulteriori esami come un'ecografia, una TAC o una risonanza magnetica.
Quando farla?
In genere, l'esigenza di effettuare una radiografia del piede emerge nel corso di una visita ortopedica che un paziente solitamente richiede in presenza di dolori, gonfiori o difficoltà di movimento. Grazie alla radiografia l'ortopedico è, solitamente, in grado di risalire alla causa dei fastidi.
Come prepararsi all'esame?
La radiografia del piede è un esame semplice e veloce che non richiede una particolare preparazione. Prima di iniziare, al paziente verrà richiesto di rimuovere scarpe, calze, eventuali indumenti che coprono il piede e oggetti metallici come gioielli o piercing, poiché potrebbero interferire con la qualità dell’immagine radiografica.
È fondamentale informare il tecnico radiologo in caso di gravidanza, sospetta o confermata: pur trattandosi di una procedura a bassa esposizione di radiazioni, il medico valuterà l’opportunità di procedere o di rinviare l’esame. Se la radiografia è urgente, verranno adottate misure di sicurezza per minimizzare l’esposizione del feto.
Come si esegue?
La radiografia al piede viene effettuata da un tecnico specializzato in una sala radiologica. Il paziente viene fatto accomodare sul tavolo radiografico, generalmente in posizione seduta o supina. Il piede viene accuratamente posizionato con l’aiuto di cuscini o supporti per evitare movimenti che potrebbero compromettere la nitidezza dell’immagine. Durante l’esame, è fondamentale restare immobili.
Il tecnico radiologo può effettuare diverse proiezioni: solitamente, al fine di ottenere una visione completa delle strutture ossee, vengono acquisite tre immagini:
- Antero-posteriore (vista frontale);
- Laterale;
- Obliqua a 45 gradi.
In alcuni casi specifici, il medico potrebbe prescrivere varianti della tradizione radiografia del piede, allo scopo di ottenere informazioni più dettagliate. Ad esempio, la radiografia sotto stress viene utilizzata per valutare la stabilità articolare o eventuali lesioni ai legamenti: in questo esame, il piede viene posizionato in modo da simulare condizioni di carico o sollecitazione.
Un’altra variante è la radiografia sotto carico, eseguita con il paziente in piedi mentre appoggia il peso sul piede. Questo tipo di radiografia è particolarmente utile per analizzare l’allineamento delle ossa, ad esempio in presenza di piede piatto o altre deformità strutturali.
Quali sono i rischi?
La radiografia del piede è un esame sicuro e non invasivo. I raggi X attraversano il corpo rapidamente e l’esposizione è generalmente molto bassa, tanto che gli effetti collaterali sono rari. Come già detto poc'anzi, donne in gravidanza e bambini sono più sensibili ai raggi X. In casi del genere, qualora l'esame sia ritenuto indispensabile, è possibile adottare misure protettive come l’utilizzo di un grembiule di piombo per schermare gli organi riproduttivi.
Nei bambini è possibile effettuare la radiografia ricorrendo a minori dosi di radiazioni. Sebbene l’esposizione ripetuta e prolungata ai raggi X sia associata a un lieve aumento del rischio di cancro, il beneficio diagnostico dell’esame sembra superare di gran lunga i potenziali rischi.
Come leggere i risultati di una radiografia al piede?
Dopo l’esecuzione dell’esame, le immagini radiografiche vengono analizzate da un radiologo o dall'ortopedico. Una radiografia del piede il cui esito è nella norma mostrerà ossa e articolazioni correttamente allineate e nessun segno di fratture, lesioni, infezioni, tumori, degenerazioni o infiammazioni. Al contrario, alterazioni della densità ossea, deformazioni, restringimento dello spazio articolare, escrescenze o formazioni sospette sono segnali di un quadro clinico da non sottovalutare e che potrebbe essere oggetto di ulteriori esami di approfondimento.
Quanto dura?
La durata complessiva dell’esame è di circa 10-15 minuti. Al termine, della radiografia il tecnico si accerterà che le immagini scattate siano chiare; in caso contrario, alcune riprese potrebbero essere ripetute. I risultati verranno poi analizzati da un medico radiologo e trasmessi all'ortopedico specializzato nel piede, il quale effettuerà una diagnosi o prescriverà ulteriori esami di approfondimento.
Quanto costa?
In Italia, il costo di una radiografia del piede può variare indicativamente tra i 25 e i 110 euro, a seconda di diversi fattori. Il primo elemento che incide sul prezzo è la tipologia dell’esame richiesto. In tal senso, è possibile distinguere tra:
- RX standard del piede (monolaterale), opzione generalmente più economica;
- RX sotto carico, che consente di valutare l’allineamento in condizioni fisiologiche di carico e può avere un costo leggermente superiore;
- RX bilaterale: prevede la radiografia di entrambi i piedi e quindi un tempo maggiore di esecuzione e interpretazione;
- RX bilaterale sotto carico: è la più completa tra le opzioni standard e solitamente anche quella più costosa.
Oltre alla tipologia di esame, altri fattori che influenzano il prezzo sono:
- La struttura sanitaria scelta dal paziente (pubblica, privata o convenzionata);
- La regione o città in cui si effettua l’esame: i prezzi possono variare sensibilmente tra Nord e Sud Italia o tra aree urbane e periferiche.

